Enfermedad de Moyamoya: Reporte de caso y revisión de la literatura
DOI:
https://doi.org/10.22517/25395203.7973Resumen
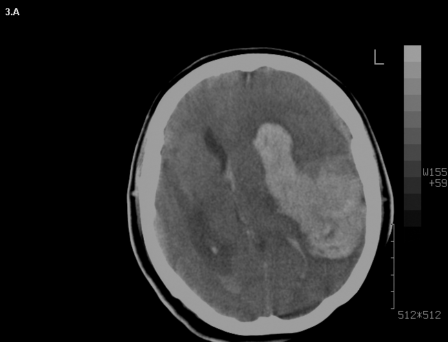
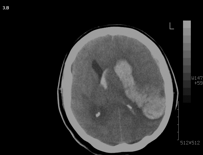
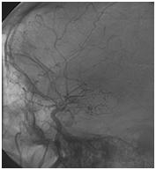
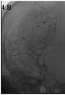
Mujer de 46 años que ingreso por cefalea súbita, hemiparesia izquierda y disartria, con tomografía axial computarizada cerebral simple que mostró hemorragia frontoparietal derecha drenada a ventrículos y arteriografía con patrón Moyamoya. Reingreso 3 meses después con deterioro del estado de consciencia y tomografía axial computarizada cerebral simple que mostró hemorragia intraparenquimatosa temporoparietal izquierda con extensión intraventricular y desviación de la línea media, se manejo en Unidad de Cuidados Intensivos con traqueostomía y gastrostomía, presentó neumonía y sepsis nosocomial, finalmente falleció en la Unidad de Cuidados Intensivos.
Descargas
Descargas
-
Vistas(Views): 941
- PDF Descargas(Downloads): 592
Archivos adicionales
Publicado
Cómo citar
Número
Sección
Licencia
Cesión de derechos y tratamiento de datos
La aceptación de un artículo para su publicación en la Revista Médica de Risaralda implica la cesión de los derechos de impresión y reproducción, por cualquier forma y medio, del autor a favor de Facultad de Ciencias de la Salud de la Universidad Tecnológica de Pereira. 1995-2018. Todos los derechos reservados ®
por parte de los autores para obtener el permiso de reproducción de sus contribuciones. La reproducción total o parcial de los trabajos aparecidos en la Revista Médica de Risaralda, debe hacerse citando la procedencia, en caso contrario, se viola los derechos reservados.
Asimismo, se entiende que los conceptos y opiniones expresados en cada trabajo son de la exclusiva responsabilidad del autor, sin responsabilizarse ni solidarizarse, necesariamente, ni la redacción, ni la editorial.
Es responsabilidad de los autores poder proporcionar a los lectores interesados copias de los datos en bruto, manuales de procedimiento, puntuaciones y, en general, material experimental relevante.
Asimismo, la Dirección de la revista garantiza el adecuado tratamiento de los datos de carácter personal