Neumonía adquirida en la comunidad por Staphylococcus aureus resistente a meticilina y sus complicaciones: descripción de un caso
DOI:
https://doi.org/10.22517/25395203.8563Resumen
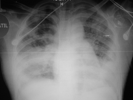
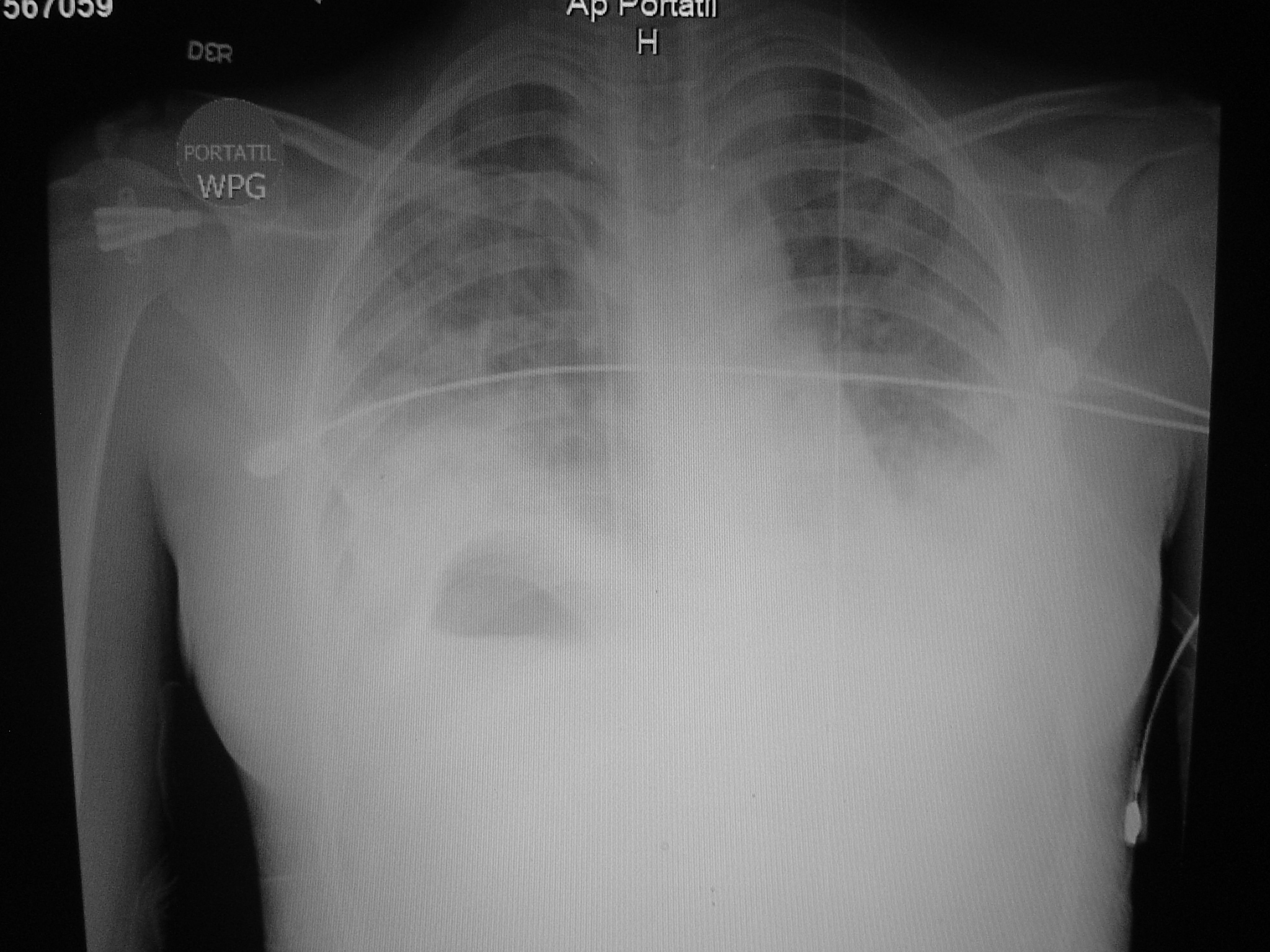
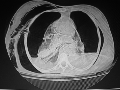
El amplio espectro clínico de la neumonía adquirida en comunidad genera problemas para su diagnóstico. La neumonía producida por Staphylococcus aureus es conocida como necrotizante, de rápida evolución y alta mortalidad. Se describe el caso de una mujer de 14 años con neumonía necrotizante por S. aureus resistente, evolucionó rápidamente a insuficiencia respiratoria requirió ventilación mecánica presento bacteriemia, empiema, neumatoceles, neumotórax bilateral persistente con fistulas broncopleurales que requirieron corrección quirúrgica. No se detectaron factores de riesgo. Los cultivos en sangre, líquido pleural, lavado traqueal fueron positivos y el tratamiento fue exitoso.
Descargas
Descargas
-
Vistas(Views): 9301
- PDF Descargas(Downloads): 3562
Archivos adicionales
Publicado
Cómo citar
Número
Sección
Licencia
Cesión de derechos y tratamiento de datos
La aceptación de un artículo para su publicación en la Revista Médica de Risaralda implica la cesión de los derechos de impresión y reproducción, por cualquier forma y medio, del autor a favor de Facultad de Ciencias de la Salud de la Universidad Tecnológica de Pereira. 1995-2018. Todos los derechos reservados ®
por parte de los autores para obtener el permiso de reproducción de sus contribuciones. La reproducción total o parcial de los trabajos aparecidos en la Revista Médica de Risaralda, debe hacerse citando la procedencia, en caso contrario, se viola los derechos reservados.
Asimismo, se entiende que los conceptos y opiniones expresados en cada trabajo son de la exclusiva responsabilidad del autor, sin responsabilizarse ni solidarizarse, necesariamente, ni la redacción, ni la editorial.
Es responsabilidad de los autores poder proporcionar a los lectores interesados copias de los datos en bruto, manuales de procedimiento, puntuaciones y, en general, material experimental relevante.
Asimismo, la Dirección de la revista garantiza el adecuado tratamiento de los datos de carácter personal